
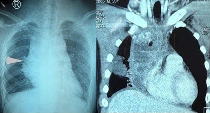
TPO - Các bác sĩ khoa Phẫu thuật Tim – Lồng ngực Mạch máu, Bệnh viện Nhân dân 115 vừa phẫu thuật thành công một trường hợp u quái trung thất hiếm gặp ở người bệnh mới 20 tuổi, khối u lớn chiếm gần trọn lồng ngực phải, chèn ép tim, phổi và tĩnh mạch chủ.
Nguồn Tiền Phong:
https://tienphong.vn/u-quai-chen-tim-ep-phoi-suyt-doat-mang-nam-sinh-vien-post1786327.tpo