Nang sán dây lợn 'phát sáng' khắp cơ thể người phụ nữ

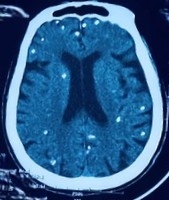
Bà được chuyển lên từ cơ sở y tế tuyến dưới đến Bệnh viện Trung ương Quân đội 108 vì rối loạn ý thức đe dọa suy hô hấp. Hình ảnh cắt lớp vi tính sọ não và X-quang ngực cho thấy rất nhiều nốt cản quang trong nhu mô não và dưới da vùng ngực - bụng. Một vài u cục với kích thước tương ứng có thể sờ thấy dưới da vùng ngực và cánh tay của người bệnh.
ThS.BS Nguyễn Sỹ Thấu, khoa Hồi sức Truyền nhiễm, cho hay xét nghiệm kháng thể IgM âm tính với sán dây lợn, song các tổn thương trên X-quang cho thấy có thể người bệnh trước đây bị nhiễm ấu trùng sán dây lợn, sau đó các nang sán trở nên vôi hóa và tồn tại lâu dài trong tổ chức. Người bệnh được điều trị theo phác đồ, ra viện tiếp tục điều trị theo tuyến.
Sán dây lợn (Taenia solium) là một loại ký sinh trùng gây bệnh ở người, tuy nhiên được gọi tên theo vật chủ trung gian là lợn. Sán trưởng thành ký sinh trong ruột của người, có thể tồn tại nhiều năm, dài 2-7 mét, bao gồm đến 1.000 đốt sán nối liền vào nhau, đào thải trứng hoặc đốt sán qua phân.
Trứng sán có thể tồn tại vài tháng ngoài môi trường, nếu bị lợn nuốt vào sẽ phát triển trong ruột non, sau đó xâm nhập vào thành ruột, rồi vào máu đi đến cơ, tạo thành các nang mà thường được gọi là các hạt gạo. Nang có thể quan sát được bằng mắt thường trong thịt lợn bị nhiễm sán. Người bị nhiễm sán lợn do ăn phải nang sán trong thịt lợn gạo không nấu chín hoặc trứng sán có trong rau sống.
Ở người, ngoài vị trí cơ, nang sán có thể được hình thành tại các vị trí nguy hiểm như não, mắ. Triệu chứng xảy ra tại cơ quan này như động kinh, rối loạn tâm thần - vận động, đau đầu, đau mắt, giảm thị lực.
"Nang sán dây lợn có thể tự thoái hóa hoặc bị vôi hóa, tạo nên hình ảnh cản quang phát hiện được trên phim X-quang như bệnh nhân trên", bác sĩ Thấu nói.
Các biện pháp dự phòng bệnh sán dây lợn bao gồm ăn chín, uống chín, vệ sinh tay thường xuyên, đặc biệt trước khi ăn. Ấu trùng sán lợn sẽ chết khi bị đun sôi trong hai phút. Những người có yếu tố nguy cơ nhiễm bệnh, khi có triệu chứng nghi ngờ nên được thăm khám sớm. Người có sán trưởng thành trong ruột (chẩn đoán qua soi phân) phải được điều trị, quản lý chất thải để phòng ngừa lây nhiễm.
Lê Nga