Nhảy đến nội dung
 

Điều trị u tử cung không xâm lấn, bảo tồn chức năng sinh sản

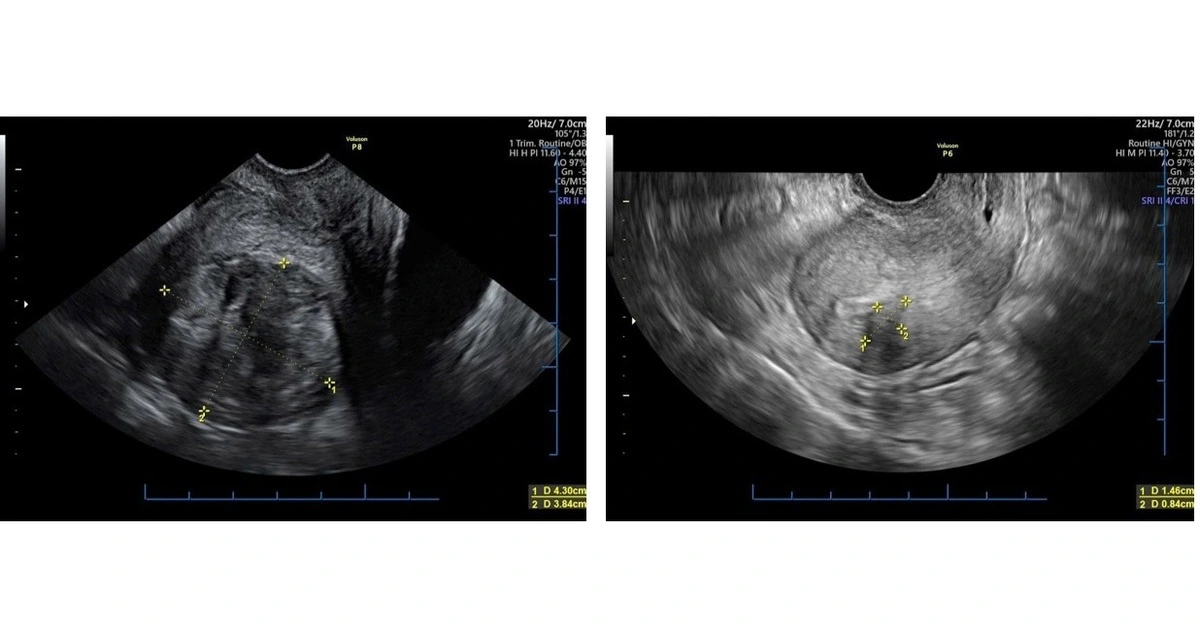
Theo GS-TS Nguyễn Viết Tiến, nguyên Giám đốc Bệnh viện Phụ sản T.Ư, Phó chủ tịch Tổng hội Y học VN, các khối u phụ khoa gây ảnh hưởng lớn đến sức khỏe và chất lượng sống của phụ nữ.

Tổng biên tập: Nguyễn Ngọc Toàn

Phó tổng biên tập: Hải Thành

Phó tổng biên tập: Lâm Hiếu Dũng

Phó tổng biên tập: Trần Việt Hưng

Tổng thư ký tòa soạn: Đức Trung

 
 
 
CÔNG TY CỔ PHẦN XÂY DỰNG SẢN XUẤT VÀ THƯƠNG MẠI ĐẠI SÀN
logo

Giấp phép đăng ký kinh doanh số 0103884103 do Sở Kế Hoạch & Đầu Tư Hà Nội cấp lần đầu ngày 29/06/2009.

Trụ sở chính: Gian số L4-07 tầng 4, nơ-2 - Gold Season, 47 Nguyễn Tuân, Thanh Xuân, Hà Nội

Email: daisanjsc@gmail.com

TRỤ SỞ HÀ NỘI

Địa chỉ Gian số L4-07 tầng 4, nơ-2 - Gold Season, 47 Nguyễn Tuân, Thanh Xuân, Hà Nội

Điện thoại  Điện thoại: 1900 98 98 36

Fax  Fax: 045625169

CHI NHÁNH HỒ CHÍ MINH

Địa chỉ 57/1c, Khu phố 1, Phường An Phú Đông, Quận 12, Thành phố Hồ Chí Minh

Điện thoại  Email: info@daisan.vn