Ngày 19/6, đại diện Bệnh viện Đa khoa Medlatec cho biết bệnh nhân tiền sử khỏe mạnh, không bị bệnh phổi. Sau khi đẩy tạ, anh bắt đầu có triệu chứng đau ngực phải, tăng dần khi ho, hít sâu hoặc vận động mạnh nên không thể tiếp tục tập luyện, phải đến viện kiểm tra.
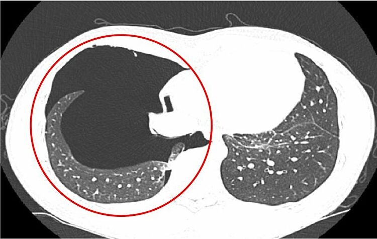
Kết quả chụp X-quang và CT ngực ghi nhận hình ảnh tràn khí khoang màng phổi phải kèm theo tổn thương nhu mô phổi (đám đông đặc ở thùy trên và phân thùy S5 phổi phải). Bác sĩ nhận định tình trạng này do chấn thương phổi trong lúc gắng sức.
Bác sĩ Phạm Duy Hưng, Phó Khoa Nội, cho biết hoạt động thể lực cường độ cao như tập gym, đẩy tạ có thể làm tăng áp lực trong lồng ngực, khiến bóng khí dưới màng phổi bị vỡ. Đây là nguyên nhân gây tràn khí màng phổi, dù bệnh nhân không có bệnh lý nền liên quan đến phổi.
Các bác sĩ điều trị bằng phương pháp hỗ trợ thở oxy, đặt catheter dẫn lưu khoang màng phổi và sử dụng thuốc giảm đau. Qua hai ngày, sức khỏe bệnh nhân chuyển biến tích cực, hết đau ngực, không còn khó thở, khí trong khoang màng phổi được dẫn lưu hết.
Theo bác sĩ Hưng, tràn khí màng phổi tự phát là hiện tượng khí thoát ra khỏi nhu mô phổi và tích tụ trong khoang màng phổi. Sự hiện diện bất thường của khí tại đây khiến phổi không thể nở rộng như bình thường, gây đau tức ngực, khó thở, nhịp tim tăng nhanh. Nếu không được xử trí kịp thời, tình trạng này có thể dẫn đến chèn ép tim và các mạch máu lớn, gây suy hô hấp, thậm chí tử vong.
Khác với tràn khí màng phổi thứ phát thường gặp ở người có bệnh lý nền về phổi (COPD, lao phổi), tràn khí màng phổi tự phát xảy ra ở người trẻ, khỏe mạnh, không có tiền sử bệnh phổi trước đó. Một số trường hợp không có dấu hiệu điển hình, người bệnh chủ quan, dễ bỏ qua triệu chứng ban đầu.
Nguyên nhân chủ yếu của tràn khí màng phổi tự phát thường do vỡ các bóng khí nhỏ, hoặc kén khí dưới màng phổi. Các bóng khí này có thể hình thành tự nhiên và tồn tại âm thầm trong phổi mà không gây ra bất kỳ biểu hiện nào cho đến khi bị vỡ do một tác động nhất định.
Các hoạt động gắng sức, thay đổi áp lực đột ngột trong lồng ngực được xem là yếu tố nguy cơ điển hình. Tập luyện thể thao cường độ cao, nâng tạ nặng, leo núi, lặn sâu, chơi nhạc cụ hơi, thậm chí ho mạnh, hắt hơi liên tục - đều có thể kích hoạt bóng khí vỡ và dẫn đến tràn khí màng phổi. Ngoài ra, thể trạng cao gầy ở nam giới cũng là yếu tố dễ gặp trong nhóm nguy cơ, do cơ địa này khiến áp lực đỉnh phổi thấp hơn và dễ gây vỡ các bóng khí.
Bác sĩ khuyến cáo người bệnh cần nhận diện sớm triệu chứng như đau ngực đột ngột, khó thở khi gắng sức, sau đó nhanh chóng đến cơ sở y tế để được chẩn đoán, can thiệp kịp thời. Những người thường xuyên tập luyện thể thao, hoặc có hoạt động thể lực mạnh cần lưu ý bảo vệ sức khỏe hô hấp, thăm khám định kỳ và lắng nghe cơ thể để hoạt động ở mức độ phù hợp.
Thúy Quỳnh














