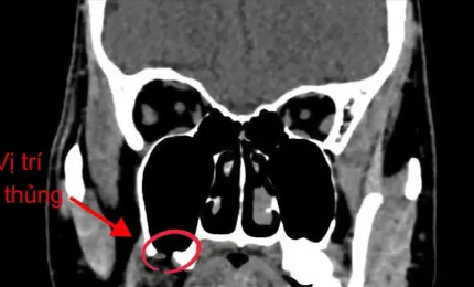
Ngạt mũi, đau đầu, thanh niên 25 tuổi nhập viện vì nhiễm trùng sọ
Trước khi nhập viện hai tuần, nam thanh niên 25 tuổi chỉ bị ngạt mũi, đau đầu nhẹ và được kê kháng sinh về uống.

Giấp phép đăng ký kinh doanh số 0103884103 do Sở Kế Hoạch & Đầu Tư Hà Nội cấp lần đầu ngày 29/06/2009.
Trụ sở chính: Gian số L4-07 tầng 4, nơ-2 - Gold Season, 47 Nguyễn Tuân, Thanh Xuân, Hà Nội
Email: info@daisan.vn
TRỤ SỞ HÀ NỘI
Gian số L4-07 tầng 4, nơ-2 - Gold Season, 47 Nguyễn Tuân, Thanh Xuân, Hà Nội
Điện thoại: 1900 98 98 36
Fax: 045625169
CHI NHÁNH HỒ CHÍ MINH
57/1c, Khu phố 1, Phường An Phú Đông, Quận 12, Thành phố Hồ Chí Minh
Email: info@daisan.vn