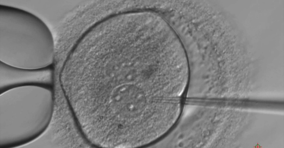
Hội đồng chuyên gia của Chính phủ Nhật Bản cho biết nước này sẽ xây dựng quy định pháp lý cấm tuyệt đối việc cấy phôi thai đã chỉnh sửa gene vào cơ thể người hoặc động vật có vú, đồng thời áp dụng chế tài xử phạt đối với các vi phạm.
Theo dự thảo hướng dẫn, mọi nghiên cứu liên quan đến phôi đã chỉnh sửa gene phải báo cáo với nhà chức trách và lưu giữ hồ sơ đầy đủ. Việc chỉnh sửa gene trên tinh trùng, trứng hoặc sử dụng công nghệ tái tổ hợp gene thông thường cũng sẽ nằm trong diện quản lý.
Theo đề xuất, người vi phạm có thể đối mặt án phạt tới 10 năm tù hoặc 10 triệu yên (khoảng 64.000 USD). Hiện Nhật Bản chỉ có hướng dẫn cấm đưa phôi đã chỉnh sửa gene trở lại tử cung, song chưa có quy định ràng buộc hay hình phạt cụ thể. Chính phủ dự kiến trình dự luật liên quan tại kỳ họp Quốc hội thường kỳ năm 2026.
Quy định mới được đặt ra trong bối cảnh xuất hiện lo ngại về nguy cơ tạo ra "em bé thiết kế" theo những tiêu chí như chiều cao hay trí tuệ.
Hội đồng liên ngành cho biết hiểu biết khoa học về việc sử dụng phôi đã chỉnh sửa gene trong y học hiện còn hạn chế, khiến việc đánh giá đầy đủ rủi ro và giới hạn kỹ thuật trở nên khó khăn.
Các chuyên gia cảnh báo nguy cơ xuất hiện các biến đổi gene không mong muốn và di truyền sang thế hệ sau, đồng thời nhấn mạnh cần có quy định pháp lý để đảm bảo các hướng dẫn được tuân thủ.
Dù siết chặt kiểm soát, hội đồng cho rằng các quy định mới không nên cản trở nghiên cứu cơ bản và cần tiếp tục thảo luận về khả năng cho phép ứng dụng lâm sàng trong tương lai.
Động thái của Nhật Bản diễn ra sau khi một nhà nghiên cứu Trung Quốc năm 2018 công bố tạo ra cặp song sinh đã chỉnh sửa gene, gây tranh cãi toàn cầu liên quan các tiêu chuẩn đạo đức và an toàn.
Nhiều quốc gia ở châu Âu sau đó đã thiết lập các quy định pháp lý để ngăn chặn các "thí nghiệm" này. Năm 2019, một hội đồng thuộc Văn phòng Nội các Nhật Bản đã kêu gọi xem xét xây dựng khung pháp lý để quản lý lĩnh vực này.















