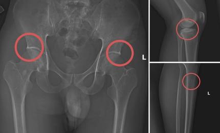
Cách cán bộ y tế dùng búa đinh đục gãy xương chân để trục lợi bảo hiểm
Ngày 28/11, Công an tỉnh Phú Thọ cho biết Cơ quan Cảnh sát điều tra đã khởi tố, tạm giam Tạ Minh Châu, 29 tuổi, nguyê

Giấp phép đăng ký kinh doanh số 0103884103 do Sở Kế Hoạch & Đầu Tư Hà Nội cấp lần đầu ngày 29/06/2009.
Địa chỉ ĐKKD: Tầng 16, Tòa nhà 54A Nguyễn Chí Thanh, Phường Láng, Thành phố Hà Nội, Việt Nam
Email: info@daisan.vn
TRỤ SỞ HÀ NỘI
47 Nguyễn Tuân, Phường Thanh Xuân, Thành phố Hà Nội, Việt Nam.
Điện thoại: 1900 98 98 36
Fax: 045625169
CHI NHÁNH HỒ CHÍ MINH
57/1c, Khu phố 1, Phường An Phú Đông, Quận 12, Thành phố Hồ Chí Minh
Email: info@daisan.vn