Nhiễm trùng máu vì 'cấy chỉ' chữa đau lưng
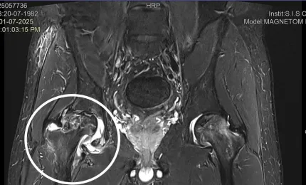
TPO - Một nam bệnh nhân 61 tuổi, trú tại Phú Thọ, được chuyển khẩn cấp đến Khoa Da liễu - Bỏng, Bệnh viện Bạch Mai tr

Giấp phép đăng ký kinh doanh số 0103884103 do Sở Kế Hoạch & Đầu Tư Hà Nội cấp lần đầu ngày 29/06/2009.
Trụ sở chính: Gian số L4-07 tầng 4, nơ-2 - Gold Season, 47 Nguyễn Tuân, Thanh Xuân, Hà Nội
Email: info@daisan.vn
TRỤ SỞ HÀ NỘI
 Gian số L4-07 tầng 4, nơ-2 - Gold Season, 47 Nguyễn Tuân, Thanh Xuân, Hà Nội
 Điện thoại: 1900 98 98 36
  Điện thoại: 1900 98 98 36
 Fax: 045625169
  Fax: 045625169
CHI NHÁNH HỒ CHÍ MINH
 57/1c, Khu phố 1, Phường An Phú Đông, Quận 12, Thành phố Hồ Chí Minh
 Email: info@daisan.vn
  Email: info@daisan.vn