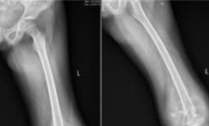
Bé trai được phát hiện ung thư nguy hiểm từ một dấu hiệu ở chân
Bé trai 10 tuổi sưng đau gối kéo dài, khi đi khám phát hiện bệnh ung thư.

Giấp phép đăng ký kinh doanh số 0103884103 do Sở Kế Hoạch & Đầu Tư Hà Nội cấp lần đầu ngày 29/06/2009.
Trụ sở chính: Gian số L4-07 tầng 4, nơ-2 - Gold Season, 47 Nguyễn Tuân, Thanh Xuân, Hà Nội
Email: info@daisan.vn
TRỤ SỞ HÀ NỘI
Gian số L4-07 tầng 4, nơ-2 - Gold Season, 47 Nguyễn Tuân, Thanh Xuân, Hà Nội
Điện thoại: 1900 98 98 36
Fax: 045625169
CHI NHÁNH HỒ CHÍ MINH
57/1c, Khu phố 1, Phường An Phú Đông, Quận 12, Thành phố Hồ Chí Minh
Email: info@daisan.vn