Ngày 4/9, đại diện Bệnh viện Đa khoa Hùng Vương cho biết khi xuất hiện vết sứt, mọi người gia đình đều chủ quan, nghĩ là vô hại, không đưa bé đi khám, cho đến vài ngày sau những vết ngoằn nghèo trên lòng bàn tay mới đưa bé đi viện.
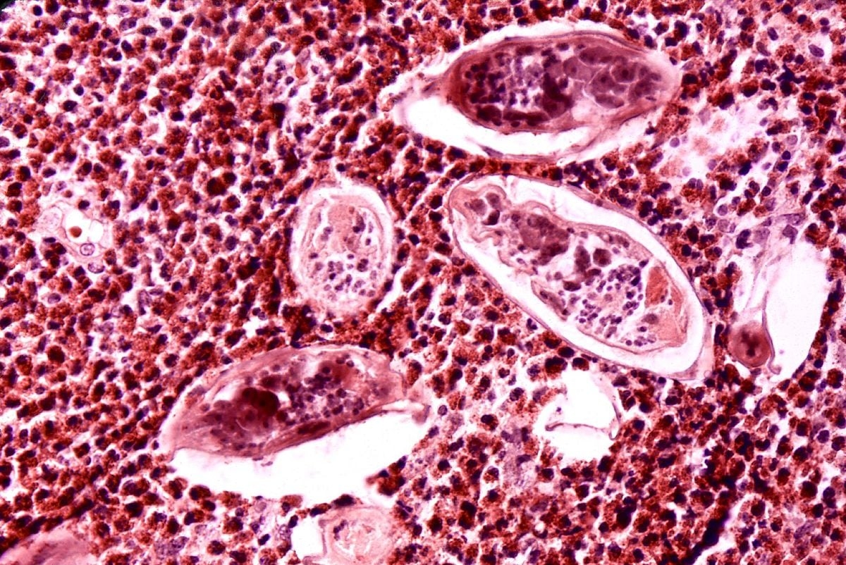
Kết quả xét nghiệm xác định bé bị nhiễm sán máng (còn gọi là Bilharzia hay sốt Katayama). Đây là loại ký sinh trùng có ấu trùng sống trong môi trường nước ngọt ô nhiễm. Chúng có khả năng xâm nhập trực tiếp qua da khi cơ thể tiếp xúc với nguồn bệnh, chẳng hạn như khi tắm sông, ao hồ hoặc nghịch cát ẩm.
Sau khi vào cơ thể, sán trưởng thành sẽ ký sinh trong các mạch máu và đẻ trứng. Quá trình này gây tổn thương mô và các phản ứng viêm nguy hiểm, đặc biệt ảnh hưởng đến gan, lách, ruột và bàng quang của trẻ. Các triệu chứng ban đầu thường không rõ ràng, bao gồm sốt, nổi mẩn ngứa, ho và tiêu chảy, dễ bị nhầm lẫn với những bệnh lý thông thường khác.
Nếu không được phát hiện và điều trị kịp thời, bệnh sán máng có thể gây ra nhiều biến chứng nghiêm trọng. Ký sinh trùng có thể tác động lên hệ tiêu hóa gây thiếu máu, đau bụng; ảnh hưởng hệ tiết niệu gây tiểu ra máu; xâm nhập vào tim, phổi dẫn đến ho dai dẳng, khó thở; thậm chí tấn công hệ thần kinh trung ương gây co giật, đau đầu và yếu liệt chi.
May mắn, bệnh nhi đã được các bác sĩ tại bệnh viện lên phác đồ điều trị bằng thuốc kịp thời và sức khỏe đã ổn định.
Các bác sĩ khuyến cáo phụ huynh tuyệt đối không cho trẻ tắm, nghịch nước ngọt tùy tiện, nhất là ở kênh rạch, ao hồ bẩn; giữ gìn vệ sinh nguồn nước, môi trường sống. Tẩy giun, tẩy sán định kỳ cho trẻ ở vùng có nguy cơ.
Thúy Quỳnh













