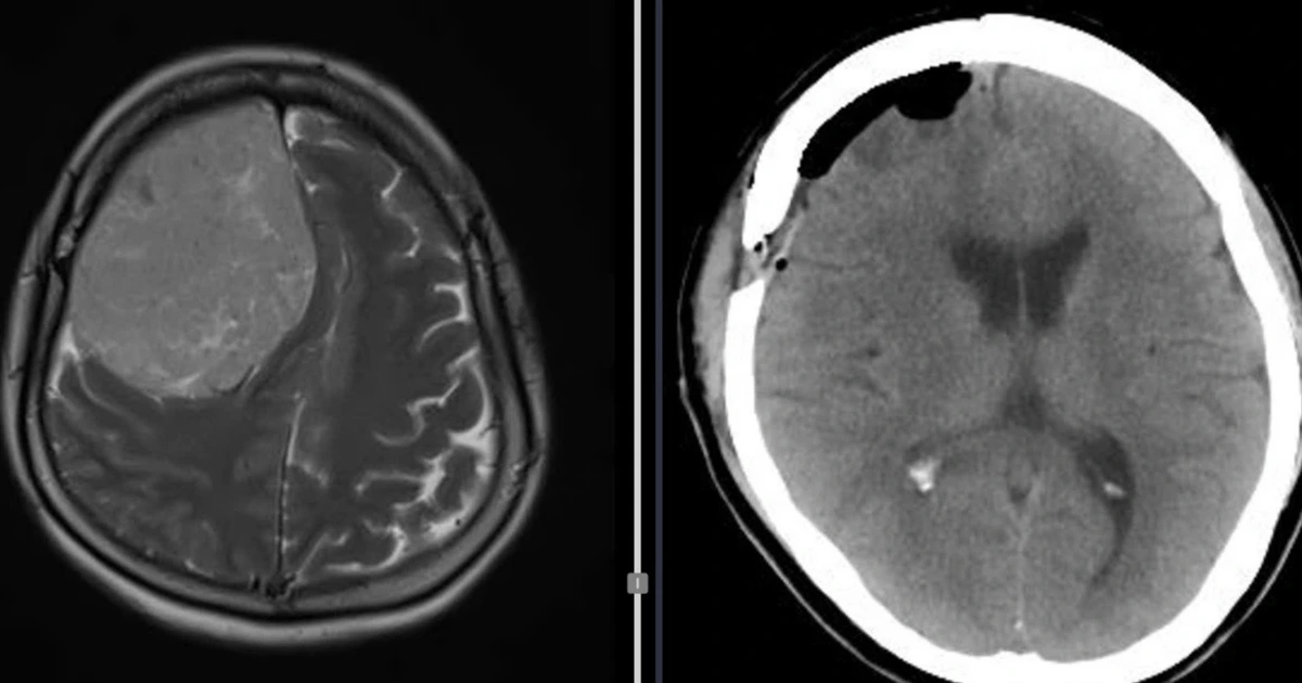
Nữ bệnh nhân ở Vĩnh Long có khối u màng não nặng 600 gram được ê kíp Bệnh viện đa khoa Trà Vinh phẫu thuật bóc tách thành công.
Tổng biên tập: Nguyễn Ngọc Toàn
Phó tổng biên tập: Hải Thành
Phó tổng biên tập: Lâm Hiếu Dũng
Phó tổng biên tập: Trần Việt Hưng
Tổng thư ký tòa soạn: Đức Trung
Nguồn Thanh Niên:
https://thanhnien.vn/dau-dau-yeu-nua-nguoi-kham-benh-phat-hien-khoi-u-mang-nao-nang-600-gram-185251110162004729.htm















