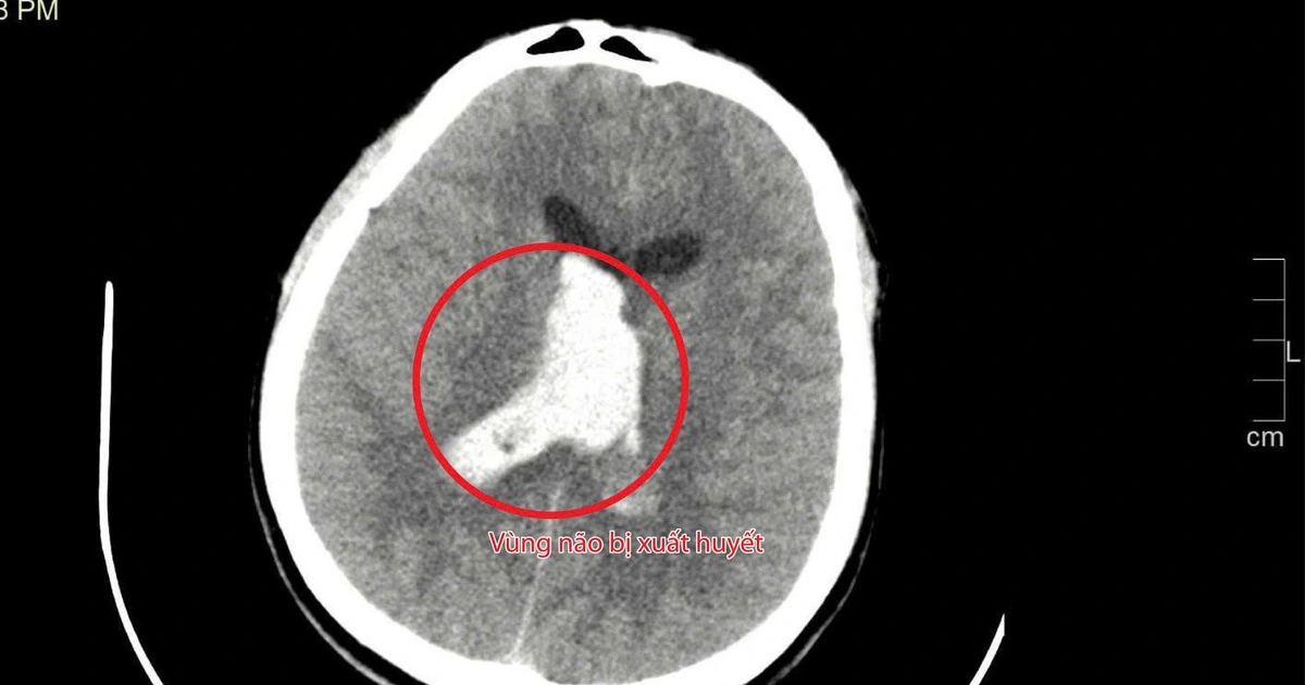
Xuất hiện những cơn đau đầu nhẹ, một giáo viên 28 tuổi ở Cà Mau cứ tưởng do áp lực công việc, sau đó bị đột quỵ nguy kịch.
Tổng biên tập: Nguyễn Ngọc Toàn
Phó tổng biên tập: Hải Thành
Phó tổng biên tập: Lâm Hiếu Dũng
Phó tổng biên tập: Trần Việt Hưng
Tổng thư ký tòa soạn: Đức Trung
Nguồn Thanh Niên:
https://thanhnien.vn/cuu-song-mot-thay-giao-tre-bi-dot-quy-nguy-kich-185251113080852854.htm















