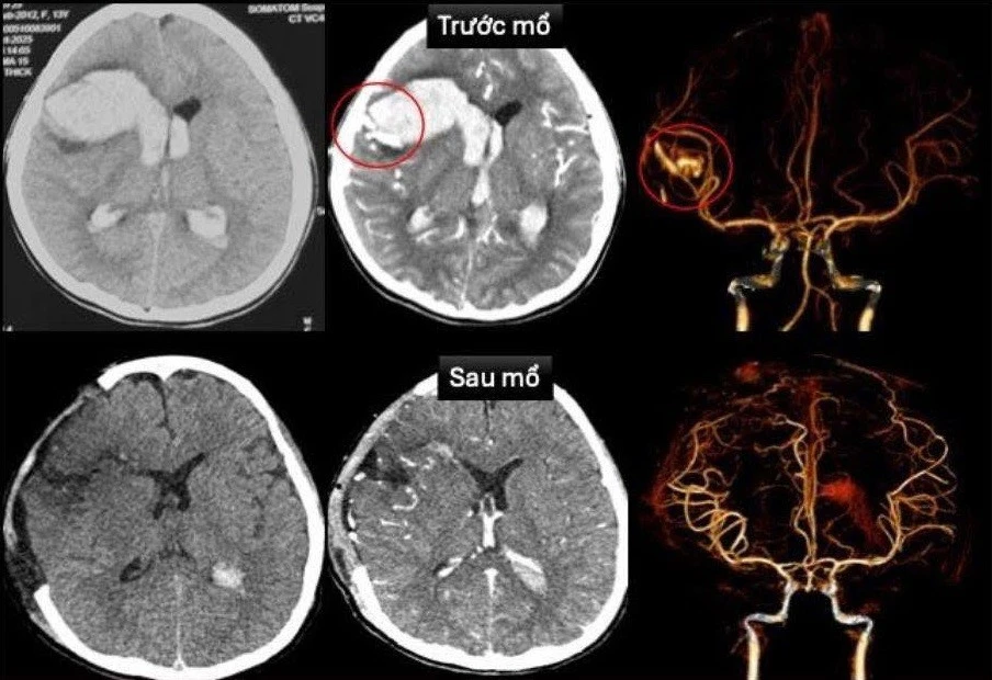
TPO - Nhập viện sau khi đột ngột hôn mê sâu, các bác sĩ xác định bệnh nhi bị vỡ dị dạng mạch máu não, biến chứng nặng trên nền bệnh cơ tim xốp. Đây là bệnh lý tim hiếm gặp, rất nguy hiểm ở trẻ em.
Nguồn Tiền Phong:
https://tienphong.vn/hy-huu-be-gai-13-tuoi-bi-dot-quy-post1793584.tpo










