Hơn 10 năm bị ho và khó thở dai dẳng, người đàn ông 43 tuổi ở Cà Mau không hề hay biết nguyên nhân sâu xa lại đến từ dị vật là hạt sapôchê kẹt sâu trong phế quản mình.
Bất ngờ khi "thủ phạm" là hạt sapôchê từ 10 năm trước
Ngày 30.9, Bệnh viện đa khoa trung ương Cần Thơ thông tin về một ca bệnh hy hữu, khi các bác sĩ lấy thành công dị vật là hạt sapôchê bị kẹt hơn 10 năm trong phế quản bệnh nhân.
Trước đó, bệnh nhân là ông P.T.T (43 tuổi, ở Cà Mau), đã phải chịu đựng các triệu chứng ho có đàm và khò khè trong suốt hơn 10 năm. Ông T. đã đi khám ở nhiều nơi và được chẩn đoán mắc hen phế quản. Dù tình trạng có thuyên giảm sau mỗi đợt điều trị, nhưng các triệu chứng khò khè vẫn nhanh chóng tái phát khi hết thuốc. Thậm chí, có những lúc không thể đến bệnh viện, ông đành tự mua thuốc và dùng bình xịt khí dung để cắt cơn.
Khoảng một năm trở lại đây, tình trạng bệnh của ông T. ngày càng trầm trọng hơn với những cơn ho kéo dài và lượng đàm đục tăng lên đáng kể. Ông T. quyết định tìm đến Bệnh viện đa khoa trung ương Cần Thơ. Tại đây, các bác sĩ đã tư vấn và chỉ định ông nhập viện để tiến hành nội soi phế quản nhằm tìm ra nguyên nhân chính xác.
Tuy nhiên, do vướng bận công việc gia đình, ông T. đã xin phép về nhà và hẹn sẽ quay lại sau. Nhưng chỉ ngay chiều hôm sau, một cơn khó thở đột ngột ập đến, kèm theo ho đàm đục và tức ngực dữ dội, buộc ông phải nhập viện tại một bệnh viện địa phương. Tại đây, bệnh nhân được chỉ định nội soi phế quản lấy dị vật nhưng không thành công và nhanh chóng được chuyển đến Bệnh viện đa khoa trung ương Cần Thơ vào sáng 25.9.
Sau thăm khám, kết hợp với hình ảnh chụp cắt lớp vi tính ngực cho thấy tổn thương đông đặc thùy dưới phổi phải, kèm hình ảnh nghi dị vật trong lòng phế quản. Bệnh nhân được tiến hành nội soi phế quản ống mềm cùng ngày nhập viện. Kết quả nội soi cho thấy niêm mạc phế quản thùy dưới phổi phải viêm cấp nặng, có nhiều đàm đục. Bác sĩ tiến hành bơm rửa hút sạch đàm.
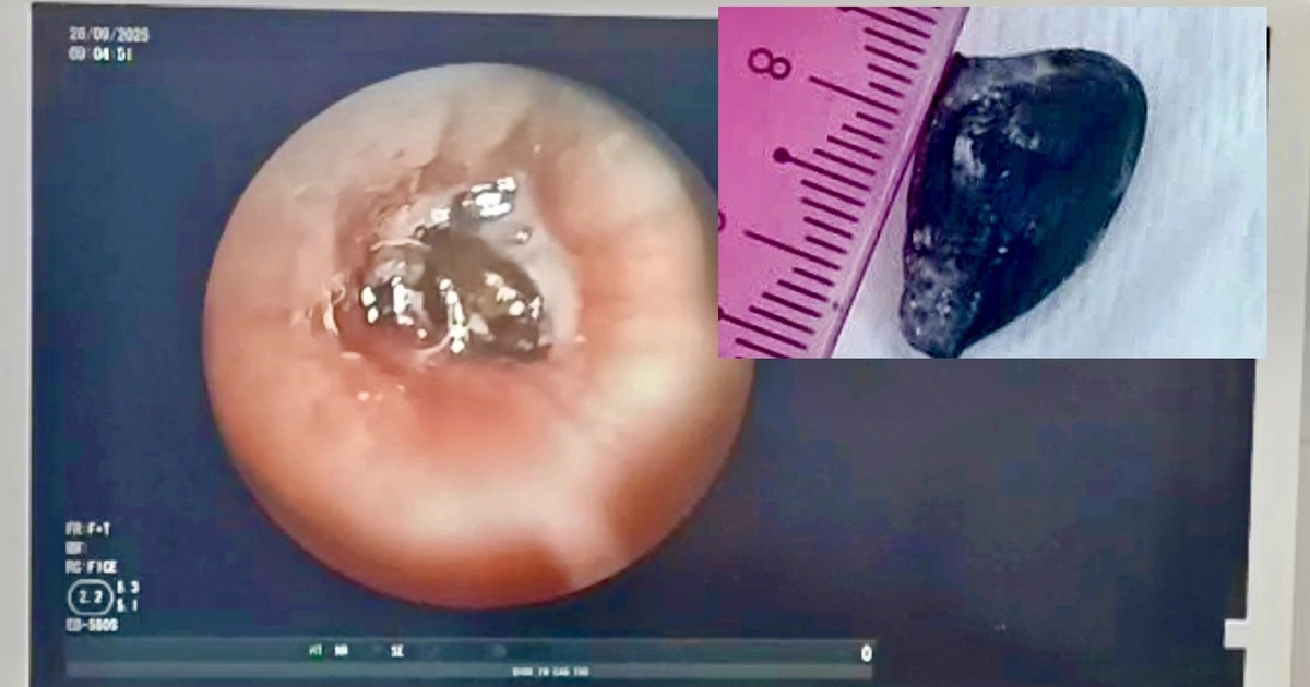
Sau 20 phút cẩn trọng bơm rửa và hút sạch đàm, thạc sĩ - bác sĩ Lý Phát cùng ê kíp đã gắp thành công một dị vật bất ngờ: đó là một hạt sapôchê kích thước 17x8 mm nằm sâu ở thùy dưới phổi phải.
Chỉ đến khi nhìn thấy "thủ phạm", bệnh nhân mới nhớ lại chuyện mình từng bị sặc khi ăn sapôchê khoảng 10 năm về trước. "Khi đó có lần tôi ăn sapôchê bị sặc, ho khoảng 2-3 ngày, sau đó các triệu chứng không còn nặng nề nên quên đi, khoảng vài năm nay tình trạng ho, khò khè kéo dài đi khám nhiều nơi nhưng cũng không phát hiện ra nguyên nhân", ông T. nói.
Hiện tại, sức khỏe của bệnh nhân đã ổn định, phổi thông khí tốt, các triệu chứng ho và nặng ngực đã cải thiện rõ rệt. Dự kiến, ông T. có thể xuất viện trong vài ngày tới sau khi hoàn tất liệu trình kháng sinh.
Không nên chủ quan với dị vật phế quản
Tiến sĩ - bác sĩ Cao Thị Mỹ Thúy, Trưởng khoa Nội hô hấp, cho biết đây là một trường hợp vô cùng phức tạp. Do dị vật đã nằm trong phế quản quá lâu, các mô viêm bị phù nề, cộng với vị trí nằm sâu và ngang đã gây ra nhiều thách thức, tiềm ẩn nguy cơ rách phế quản, chảy máu ồ ạt, tràn khí trung thất gây tử vong.
Cũng theo bác sĩ Thúy, dị vật khí phế quản có thể gây những biến chứng cấp tính như ngưng thở hay mạn tính như nhiễm trùng phế quản phổi, thời gian dị vật nằm trong phế quản càng lâu sẽ càng gây kích thích tăng sinh mô hạt càng nhiều ở vị trí phế quản tiếp xúc với dị vật. Từ đó gây nên tình trạng viêm phổi tái đi tái lại và đe dọa nghiêm trọng đến tính mạng bệnh nhân, đồng thời gây khó khăn khi lấy dị vật.
Bác sĩ Thúy cũng khuyến cáo người dân cần hết sức cẩn trọng khi ăn các loại quả có hạt trơn, nhọn như sapôchê. Nếu không may bị sặc, ho dữ dội hoặc có dấu hiệu tím tái, nghi ngờ hóc dị vật, cần đến ngay cơ sở y tế để được can thiệp kịp thời, tránh những biến chứng nguy hiểm về sau...















