Phế cầu khuẩn có trong hơi thở của nhiều người. Vi khuẩn này dễ lan truyền qua ho, hắt hơi và các chất tiết đường hô hấp.
Hội nghị Nhi khoa Việt Nam - Mỹ lần thứ 11 được Bệnh viện Bạch Mai tổ chức ngày 13.11. Tại hội nghị, bên cạnh các thông tin cảnh báo các bệnh hô hấp do cúm A, virus hợp bào hô hấp RSV, TS-BS Nguyễn Thành Nam, Giám đốc Trung tâm Nhi khoa, Bệnh viện Bạch Mai, lưu ý phế cầu khuẩn gây bệnh với tỷ lệ khá cao ở trẻ em Việt Nam.
Theo thống kê năm 2024, khoảng 25 - 30% trẻ dưới 2 tuổi bị viêm phổi do phế cầu và 40% trường hợp nhiễm khuẩn huyết ở nhóm tuổi này cũng do tác nhân này gây ra.
Bên cạnh đó, viêm màng não do phế cầu vẫn là một trong những nguyên nhân hàng đầu gây tử vong và di chứng nặng nề ở trẻ em Việt Nam.
Bác sĩ Nam cho biết, tại Trung tâm Nhi khoa, Bệnh viện Bạch Mai, trong 9 tháng năm 2025, phế cầu chiếm 12% các chủng vi khuẩn được phân lập tại khu vực điều trị nội trú. Với các ca bệnh ngoại trú, kết quả định danh cho thấy 55% ca viêm phổi do phế cầu khuẩn, phản ánh gánh nặng bệnh tật lớn do tác nhân này gây ra trong cộng đồng.
Phế cầu xâm lấn là căn nguyên chính của các bệnh lý nguy hiểm, như viêm màng não, viêm phổi, nhiễm khuẩn huyết ở trẻ em. Bệnh do phế cầu có thể gây bệnh cảnh nặng và có thể tử vong. Các thể bệnh nặng là viêm phổi, nhiễm trùng huyết và viêm màng não. 97% trẻ mắc viêm màng não do phế cầu chưa được tiêm vắc xin.
"Kinh nghiệm từ nhiều quốc gia cho thấy, sau khi triển khai rộng rãi chương trình tiêm vắc xin phế cầu, tỷ lệ mắc viêm phổi và viêm màng não giảm rõ rệt", bác sĩ Nam chia sẻ.
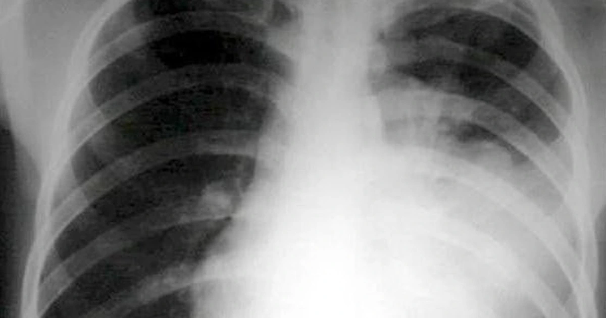
Theo Bộ Y tế, phế cầu là vi khuẩn có tên Streptococcus pneumoniae, là nguyên nhân thường gặp gây viêm phổi cộng đồng (viêm phổi bên ngoài bệnh viện), do sự phát triển quá mức của vi sinh vật gây bệnh trong nhu mô phổi, viêm và sản xuất dịch tiết trong phế nang gây "đông đặc phế nang", có thể gây tổn thương nhiều thùy khi vi khuẩn theo dịch viêm lan đến thùy phổi khác theo đường phế quản.
Cũng theo các nghiên cứu đã công bố, phế cầu khuẩn có trong hơi thở của nhiều người. Vi khuẩn này lan truyền qua ho, hắt hơi và các chất tiết đường hô hấp khác.
Vi khuẩn phế cầu cũng có thể sống trong thời gian ngắn trên các bề mặt. Những vi khuẩn này, cùng với nhiều loại khác đặc biệt phổ biến ở những nơi mà mọi người, đặc biệt là trẻ em nhỏ, tiếp xúc gần. Do đó, nhà trẻ, trường học và các cơ sở chăm sóc dài hạn là những nơi có nguy cơ nhiễm bệnh phế cầu cao.














