Bác sĩ cho biết, nếu một người cảm thấy mờ mắt, đi khám mắt thấy cấu trúc mắt bình thường nhưng thị lực ngày càng suy giảm thì phải nghĩ đến các nguyên nhân khác từ não.
Từ đầu năm đến nay, chị H.T.L (48 tuổi, quê Bình Định) thường xuyên bị đau nhức đầu, cơn đau khiến chị L. luôn trong tình trạng mệt mỏi, khó chịu, mắt mờ, không thể làm việc nặng.
Tuy nhiên, chị L. nghĩ rằng đó là những biểu hiện của bệnh đau cột sống cổ chèn ép mà chị đang mắc phải, nên tự đi mua thuốc giảm đau để uống. Dẫu vậy, cơn đau vẫn không cải thiện, thị lực suy giảm rõ rệt.
Lo sợ có điều bất thường, chị L. đã đến một bệnh viện tại Bình Định thăm khám và chụp MRI. Kết quả phát hiện chị có một khối u ở não, cần phẫu thuật loại bỏ. Sau khi được một người thân giới thiệu, chị L. và người thân đã đến Bệnh viện đa khoa Xuyên Á, TP.HCM, để điều trị.
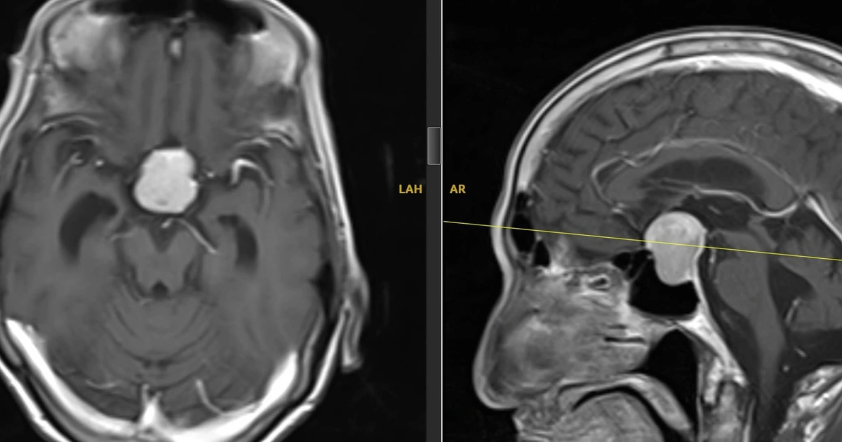
Dựa trên kết quả MRI, các bác sĩ Bệnh viện đa khoa Xuyên Á chẩn đoán bệnh nhân có một khối u tuyến yên kích thước 3 cm gây chèn ép dây thần kinh thị giác. Khối u này cũng là nguyên nhân khiến chị L. mờ mắt, đau đầu thường xuyên. Sau khi hội chẩn, các bác sĩ thống nhất thực hiện ca phẫu thuật nội soi bóc tách lấy khối u, giải phóng dây thần kinh cho người bệnh.
Ngày 17.5, thạc sĩ - bác sĩ chuyên khoa 2 Huỳnh Văn Vũ - Phó trưởng Khoa Sọ não cột sống 2, Bệnh viện đa khoa Xuyên Á, cho biết khối u được bóc tách và lấy ra trọn vẹn thông qua đường mũi, hạn chế tối đa nguy cơ ảnh hưởng tới khu vực não bộ xung quanh.
Sau mổ 3 ngày, thị lực của bệnh nhân L. cải thiện đến 80%, chị có thể nhìn rõ mọi vật xung quanh, không còn đau nhức đầu, cơ thể nhẹ nhõm, sức khoẻ hồi phục nhanh chóng.
Tương tự bệnh nhân L., ông N.V.H (74 tuổi, Cà Mau) cũng mắc u tuyến yên lớn với kích thước 3,1 cm chèn ép dây thần kinh khiến ông mờ mắt, đau đầu hơn 6 tháng nay. Khi đến Bệnh viện đa khoa Xuyên Á thăm khám, ông được chụp MRI và chẩn đoán u tuyến yên lớn. Với bệnh cảnh này, ông cũng được chỉ định phẫu thuật nội soi loại bỏ khối u.
Không nên chủ quan với triệu chứng mắt mờ, đau đầu
Bác sĩ Vũ cho biết, 2 bệnh nhân trên đều có khối u tuyến yên lớn với kích thước 3 cm gây chèn ép thần kinh. U tuyến yên là sự tăng trưởng bất thường của khối u trong tuyến yên (tuyến yên là bộ phận của não có nhiệm vụ điều hòa sự cân bằng các nội tiết tố trong cơ thể). Khi xuất hiện khối u tuyến yên dẫn đến việc sản xuất ra quá nhiều hormone kiểm soát các hoạt động chức năng của cơ thể. Hoặc ngược lại, một số khối u tuyến yên xuất hiện khiến cho việc sản xuất hormone ít đi, dẫn đến cơ thể không đủ lượng hormone cần thiết.
"Trước khi nhập viện, 2 bệnh nhân đều không nghĩ mình có u não, họ thấy mắt mờ nên chỉ đi khám mắt mà vẫn không tìm được nguyên nhân cho đến khi chụp MRI não. Do đó người dân không nên chủ quan khi có các triệu chứng bất thường như mờ mắt, đau đầu, mệt mỏi kéo dài...", bác sĩ chia sẻ.
"Nếu bệnh nhân cảm thấy mờ mắt, đi khám mắt thấy cấu trúc mắt bình thường nhưng thị lực ngày càng suy giảm thì phải nghĩ đến các nguyên nhân khác từ não. Đặc biệt, khi người bệnh bị mờ mắt kèm các triệu chứng đau đầu, rối loạn thị giác, yếu tay, yếu chân thì nên đi chụp phim MRI kiểm tra não để sớm phát hiện bệnh. Bệnh u tuyến yên càng phát hiện sớm, điều trị sớm thì khả năng phục hồi của bệnh nhân sẽ tốt hơn nhiều", bác sĩ Vũ khuyến cáo.















